封面新闻记者 邱添
主动脉瓣狭窄是老年人常见的心脏瓣膜疾病,但高龄伴有合并症的高危患者采用传统外科开胸手术风险较高、恢复也较慢。一种经导管主动脉瓣置换术(TAVI微创手术)的诞生,让越来越多的高龄患者在医生的帮助下受益。
5月4日,一位84岁高龄的心脏病患者在成都市第三人民医院心脏大血管外科顺利康复出院。该患者主动脉瓣重度狭窄并伴有基础疾病,通过TAVI微创手术,困扰老人已久的病痛被成功解除。
高龄患者活动后头晕心悸、呼吸困难
84岁杨大爷(化名)半年前活动后伴有胸闷、气短的现象。当时他与家人并未意识到问题的严重性,半年来症状逐渐加重,即使轻微活动也会头晕心悸、呼吸困难,给老人的生活造成了很大困扰。日常行动不便,身体每况愈下,体重直接掉到了70多斤。来到成都市第三人民医院心脏大血管外科就诊后,程力剑副主任详细分析了杨大爷的病情,并结合一系列检验检测确诊其患有主动脉瓣重度狭窄。
对老年患者来说,这种疾病不实施手术有猝死风险。考虑到杨大爷高龄、伴有糖尿病等基础疾病,加之身体情况极差,无法承受常规体外循环手术,心脏大血管外科TAVI团队经过评估,最终优中选优,决定为其实施经TAVI手术——经导管主动脉瓣置换术。

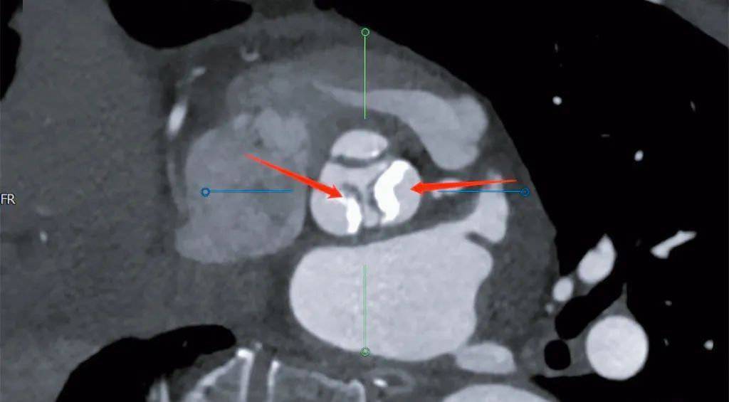
主动脉瓣严重狭窄、瓣叶钙化
一个多小时手术 无需开胸创伤小
摆在心脏大血管团队面前有几项难题:一是患者的主动脉瓣叶钙化非常严重且分布不均,二是患者呈现恶液质终末衰竭状态,三是患者长期卧床后腿部关节僵硬弯曲,无法伸直。
手术时候需要对脚部、臀部、骶尾部特别保护。为此,手术团队进行了术前充分讨论和术式精心设计。手术仅需从股动脉处穿刺作为通道,通过导管将瓣膜输送至主动脉瓣处,将瓣膜释放于原先狭窄处,并将其锚定于适当位置,即可代替坏掉的旧瓣膜。

手术1个多小时顺利完成。患者无需开胸,创伤小,恢复快。术后复查杨大爷心脏彩超显示主动脉瓣位的人工生物瓣功能正常。杨大爷目前心累、气短的症状明显缓解,精神也比刚住院的时候明显好转。TAVI手术为老年、无法耐受常规外科手术的主动脉瓣狭窄患者提供了新的希望。
健康小贴士:哪些患者适合做TAVI?
1. 老年重度主动脉瓣狭窄
2. 解剖条件合适的主动脉瓣关闭不全的患者
3. 无法耐受常规外科手术,或者经评估外科手术高危的患者